Summary of Brain Scans Reveal Hidden Changes After Menopause:
Research from the University of Cambridge reveals that menopause is linked to significant brain changes, including grey matter loss in regions critical for memory and emotional control, alongside increased rates of anxiety, depression, and sleep disturbances. Hormone replacement therapy (HRT) did not prevent these brain changes but may slow age-related declines in reaction speed. The study analyzed data from nearly 125,000 women and found post-menopausal women had slower reaction times and reported more mental health issues. Brain scans indicated notable grey matter loss, particularly in areas like the hippocampus and anterior cingulate cortex, which could make women more vulnerable to dementia later in life. The findings highlight the importance of awareness and support for women undergoing menopause.
*****
Key Takeaways
-
Menopause and Brain Changes: Recent research shows that menopause leads to significant brain volume loss in critical areas linked to memory and emotions.
-
Mental Health Impacts: Post-menopausal women experience increased rates of anxiety, depression, and sleep disturbances, with lifestyle factors playing a crucial role.
-
Cognitive Performance: Menopausal women display slower reaction times, connecting hormonal changes with cognitive decline, although memory performance remains stable.
-
Role of Hormone Replacement Therapy (HRT): HRT does not prevent brain changes but may slow down age-related cognitive decline and changes in reaction time.
- Long-term Risks: Significant grey matter losses in certain brain regions raise concerns about increased dementia risk in women, highlighting the need for awareness and support during menopause.
The Fascinating Impact of Menopause on Brain and Mental Health
Menopause is more than just a change in a woman’s monthly cycle; it marks a significant transition that influences various aspects of life, including physical health, mental wellbeing, and even neurological function. Recent findings from research conducted at the University of Cambridge serve as a profound reminder of this transition’s complexity. As we delve into the hidden changes that occur in the brain after menopause, prepare yourself for a journey filled with insights that not only inform but also inspire and empower.
What Happens During Menopause?
Most women begin to experience menopause between the ages of 45 and 55. It is characterized by a decline in estrogen levels, leading to the cessation of menstrual periods and an array of physical and psychological symptoms, including hot flashes, mood swings, disrupted sleep, and cognitive changes. However, the impact extends beyond just physical symptoms; the brain undergoes a transformation that is often overlooked.
During this transformative phase, the connection between hormonal changes and brain functionality demands a closer look. While many people may associate menopause with emotional turmoil or cognitive hiccups, understanding these shifts on a neurological level can empower women to embrace this life stage positively.
The Research Journey: Analyzing Nearly 125,000 Women
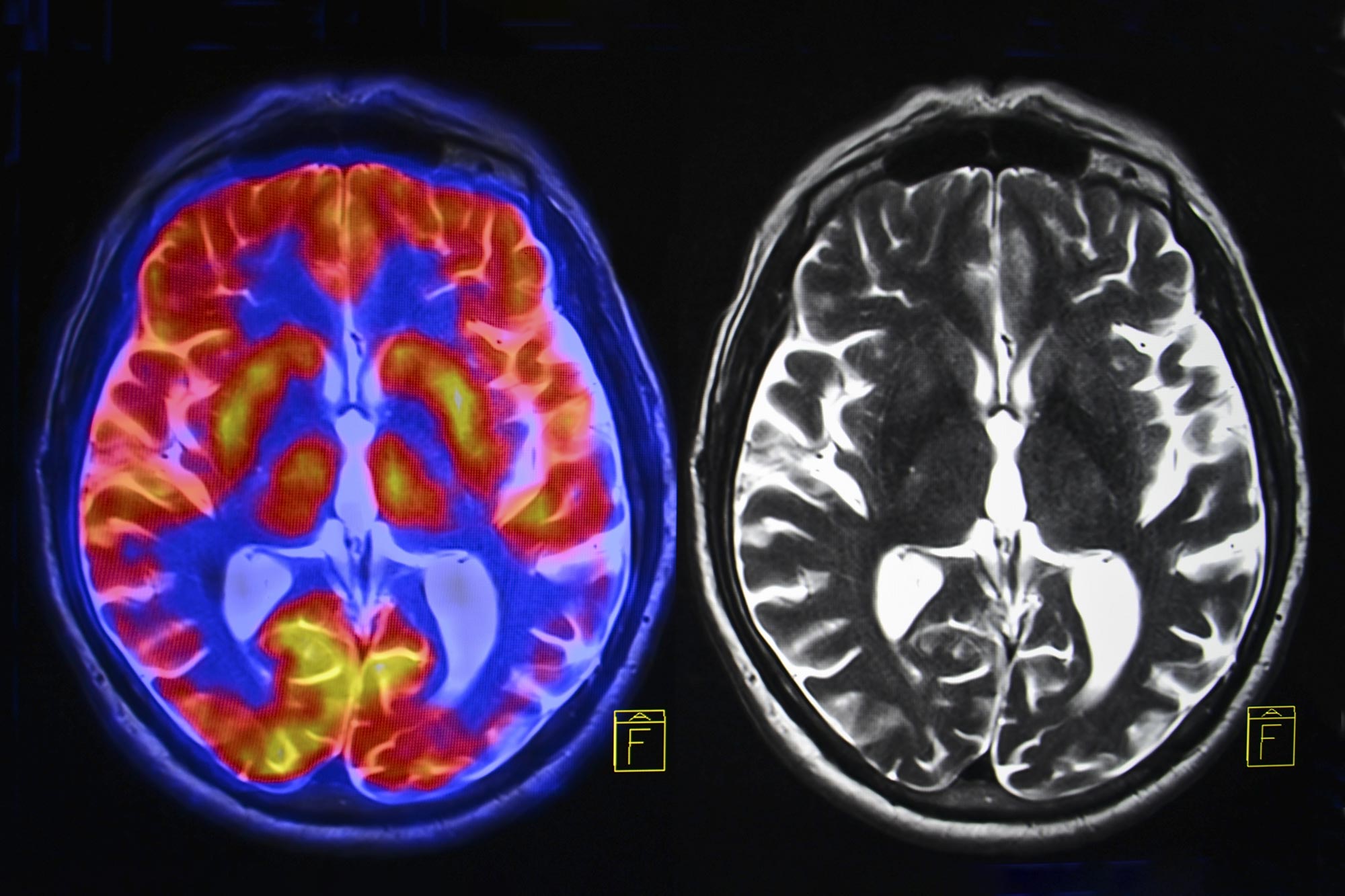
To unravel the complexities of these brain changes, researchers analyzed data from nearly 125,000 women in the UK Biobank. Participants were divided into three groups: pre-menopausal, post-menopausal women who had never used hormone replacement therapy (HRT), and those who had. They filled out questionnaires about their menopausal symptoms, mental health, and lifestyle habits. Some women underwent MRI scans to visualize the actual changes in brain structure.
The results were telling. Women who had gone through menopause exhibited a noticeable reduction in grey matter volume in areas of the brain critically involved in memory and emotional regulation. This finding raises vital questions about the link between menopause and the increased prevalence of mental health issues and cognitive decline.
Mental Health: The Emotional Rollercoaster
The results revealed a striking trend: post-menopausal women often have higher rates of anxiety and depression than their pre-menopausal counterparts. Seeking help from general practitioners or mental health professionals became more common in this demographic. The figures indicate a pressing need to focus on mental health alongside physical changes during this life transition.
Interestingly, women using HRT reported higher levels of anxiety than those who didn’t. But a closer analysis suggested that this could be due to pre-existing issues rather than HRT-induced changes. Many women may have turned to HRT hoping to alleviate expected menopause-related symptoms, only to find their emotional well-being still wading in murky waters.
Sleep disturbances emerged as another pressing concern. Insomnia, fatigue, and shorter sleep duration were common complaints among post-menopausal women. Once again, the role of HRT is complex. While it may not significantly affect sleep duration or quality, women on HRT reported feeling more fatigued, indicating that a myriad of interrelated factors contributes to the post-menopausal experience.
The Importance of Lifestyle
The findings emphasize how lifestyle choices play a crucial role in navigating menopause. Dr. Christelle Langley emphasizes the importance of maintaining a healthy diet, regular exercise, and social connections during this period. Engaging in activities that promote mental well-being can counteract some of menopause’s adverse effects.
For many, this is a call to action to embrace lifestyle changes that support both physical and emotional health. Whether it’s through yoga, meditation, or simply seeking supportive spaces with friends, empowering oneself during menopause is key.
Cognitive Changes: A Slower Reaction Time
Although memory performance among the three groups of women—pre-menopausal, post-menopausal without HRT, and post-menopausal with HRT—remained fairly constant, the study revealed a concerning trend: reaction times languished in post-menopausal women not taking HRT.
Slower reaction times can have far-reaching implications, especially in daily activities that require quick thinking and decision-making. Dr. Katharina Zühlsdorff highlights that while age-induced cognitive decline is a natural process, menopause seems to accelerate this decline. HRT appeared to mitigate some of this effect, suggesting a delicate balance between hormonal influence and brain health.
Grey Matter Loss: The Neurological Landscape
Perhaps the most striking aspect of this research is the observed loss of grey matter across several critical regions of the brain following menopause. Grey matter, which contains the cell bodies of nerve cells, plays a key role in processing information, regulating movement, and controlling emotional responses.
The hippocampus, crucial for forming and storing memories, alongside regions like the entorhinal cortex and anterior cingulate cortex, showed notable reductions in volume among post-menopausal women. This raises essential questions about long-term cognitive health and the potential risk of dementia. Indeed, the areas affected are commonly associated with Alzheimer’s disease, further compounding concerns about women’s health as they age.
Preparing for the Future: The Path Ahead
These findings illuminate an often-ignored dimension of menopause—the brain’s intricate dance with changing hormones. The implications extend beyond immediate lifestyle concerns; they usher in a broader discourse on women’s health, encouraging proactive approaches to mental and emotional well-being.
Women must not face menopause in solitude—conversations about mental health should be normalized, and support systems should be in place. Communities can empower women to embrace this stage of life with openness and resilience. Healthcare providers need to recognize the multifaceted impact of menopause, ensuring well-rounded care strategies that emphasize the importance of mental health alongside traditional treatments.
Conclusion: Embracing Change with Grace
As we navigate the complexities of menopause and the accompanying brain changes, understanding is essential. The research of the University of Cambridge serves as a pivotal reminder to acknowledge the profound transitions women experience during this time. Armed with knowledge, women can take proactive steps towards a healthier lifestyle, transforming the journey through menopause into one of empowerment.
Whether through fostering supportive relationships, engaging in physical activities, or promoting open discussions about mental health, there lies an incredible opportunity for growth and self-discovery. Menopause can be a significant chapter in life—a period not just marked by challenges but brimming with potential for revitalizing one’s approach to health, relationships, and ultimately, personal understanding.
In this new era of awareness, let us normalize conversations and cultivate environments that inspire confidence, resilience, and holistic well-being. Embrace the changes; they are your opportunity for transformation. Together, we can turn the tide on the narrative surrounding menopause, ultimately enriching the lives of countless women and our communities.
As the science evolves, so too should our perspectives, propelling us towards a brighter future filled with understanding, hope, and empowerment. In every ending, there lies a new beginning.
